Prótesis dental

Recupera tu sonrisa

Equipados con la mejor tecnología, preparados con los mejores conocimientos, una amplia experiencia, logramos recuperar tu sonrisa y tu masticación de forma muy duradera y efectiva.

Trabajamos de la mano con Matdesign laboratorio dental, que también usan la mejor maquinaria y las mejores técnicas para dar resultados muy estéticos e hiperrealistas en tiempo récord.

Visitalos aquí si quieres ver su trabajo, estos artistas son nuestros mejores aliados y son quienes nos ayudarán a crear tu nueva sonrisa:

www.dentalmatdesign.com

El Plan, el centro de todo.

La prótesis dental es la especialidad más compleja de todas. Imagina que te vas a construir una casa, el arquitecto te enseña los planos, una maqueta, un prototipo y te dice los materiales que utilizará para construir tu sueño.

En Rivatech, nos basamos en los mismos principios. Juntamos todas las herramientas diagnósticas de última tecnología para poder enseñarte los planos de tu nueva sonrisa, crear una maqueta hecha en 3D, probar el prototipo diseñado digitalmente para que sepas cómo te vas a ver y cómo vas a beneficiarte de este tratamiento. ¡Y TODO ANTES DE COMENZAR!

Visitanos para vivirlo de primera mano, y saber que con tu sonrisa no se improvisa.

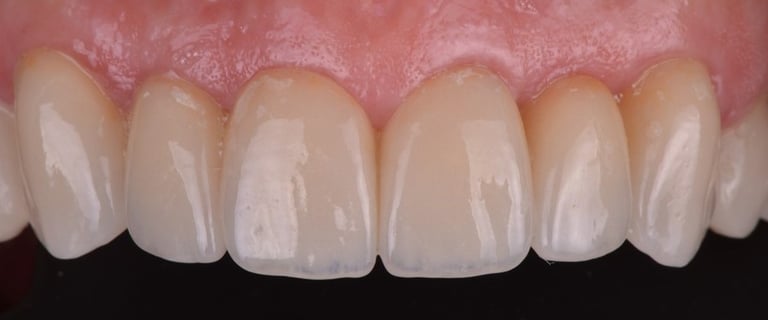
Coronas de Zirconia

Estas restauraciones libres de metal son de una gran estética y durabilidad. Tienen una excelente biocompatibilidad con la encía y bien trabajadas permiten que las bacterias no se adhieran a ellas, garantizando un buen pronóstico para tu salud bucal.

Existen varios tipos de zirconia (a veces conocido como zirconio dental), depediendo la situación elegiremos el que mejor se adecue a tu caso.

Prótesis fija sobre implantes

Una solución excelente cuando tenemos que reponer piezas perdidas, fijadas mediante tornillos. Lo más importante es que se planifica dónde quedarán la corona y el implante antes de empezar, para que tu restauración sobre implante sea estética, funcional y biológicamente estable en el tiempo.

Tratamientos longevos son siempre nuestra mejor opción.

Prótesis removible sobre implantes - sobredentaduras

Muchas veces la ausencia excesiva de hueso nos ve en la necesidad de utilizar dentaduras removibles, que gracias a la predictibilidad de los implantes dentales, podemos hacer que estas prótesis tengan una gran retención y estabilidad. Olvídate de verdad del pegamento de dientes, y disfruta de comer y sonreir sin complejos.

Las sobredentaduras sobre implantes son una excelente opción.