Ortodoncia
Ortodoncia invisible
Alinea tus dientes de forma estética, predecible y mucho más cómoda gracias a los alineadores invisibles.
Esta técnica permite predecir los movimientos dentales antes de empezar el tratamiento, lo que nos ayuda a visualizar nuestros resultados. Puede ser utilizado en niños y adultos.



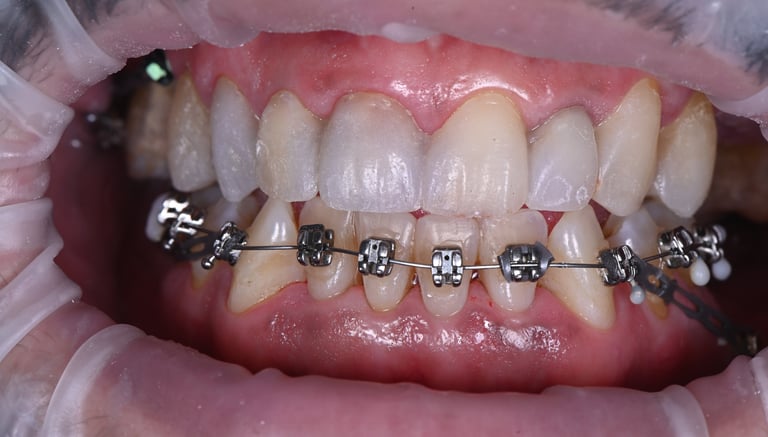
Brackets autoligados
Técnica convencional que permite mover los dientes de forma predecible y rápida.
Gracias a nuestros especialistas es una técnica perfecta para mejorar tu sonrisa de forma mínimamente invasiva
Ortopedia funcional
Modificamos las estructuras esqueléticas de los maxilares y mejoramos función y estética. Especialmente efectiva en niños y adolescentes, atajando los problemas del futuro y corrigiéndolos en el presente.
Si tu hijo o hija presenta problemas esqueléticos y funcionales, estos dispositivos mejorarán su calidad de vida notablemente.


Contacto
Atención personalizada y tecnología avanzada dental
Ubicación
Horario:
De lunes a viernes de 9:00 a.m. a 9:00 p.m.
Sábados de 9:00 a.m. a 20:00 p.m.
Domingos, bajo cita previa o contacto
Calle las Viñas 56, Fuengirola, Málaga. 29640
+34642140821
© 2025. All rights reserved.
clinica@rivatechdental.com
Clínica dental Rivatech pertenece a Mariveros Solutions S.L.
Registro Mercantil Málaga
Sección 8, Hoja MA-186492, Inscripción / Asiento 1.
NICA 67574